カテゴリー:
スタッフブログ
【令和7年度学校保健統計結果】児童生徒のう蝕者の割合は過去最小を更新
上野毛駅徒歩2分、歯科保存学会専門医、上野毛通り歯科の佐藤です。当院ではすべての世代の方に健全な口腔内を維持できるよう歯周病、虫歯、審美歯科、予防歯科に積極的に取り組んでおります。
【令和7年度学校保健統計結果】児童生徒のう蝕者の割合は過去最小を更新

となっております。近年保護者の方のやお子様の口腔内に関する意識も高まり年々う蝕が減っていることは、地域医療に接している者として嬉しいかぎりです。
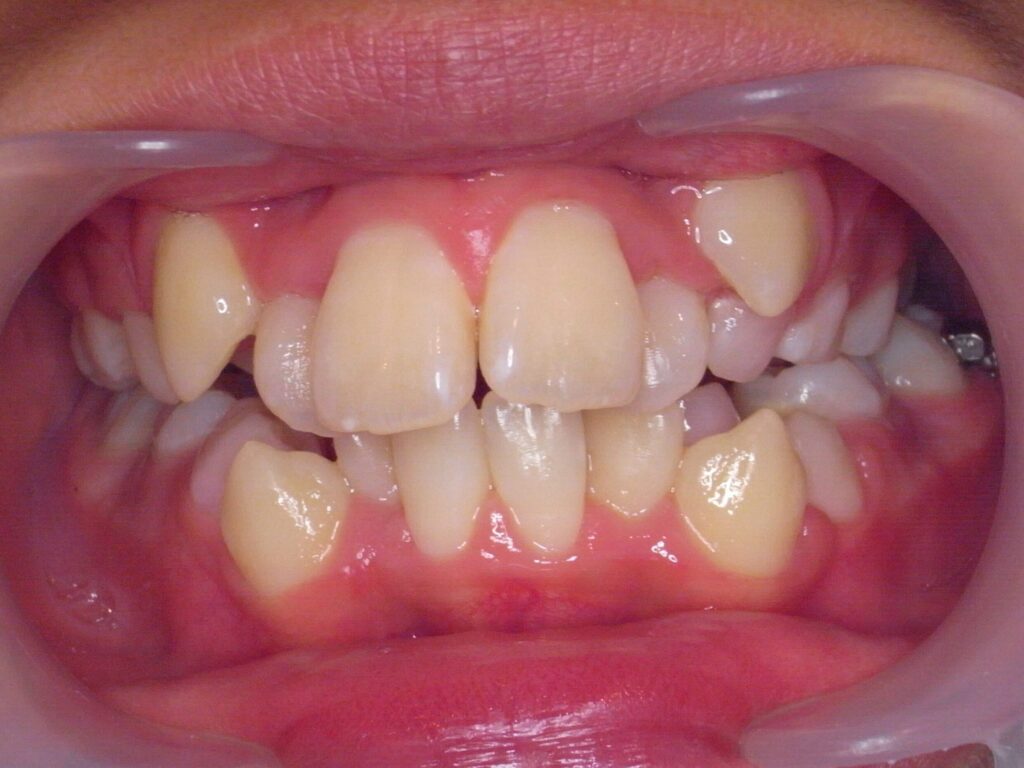
BEFORE:2016年

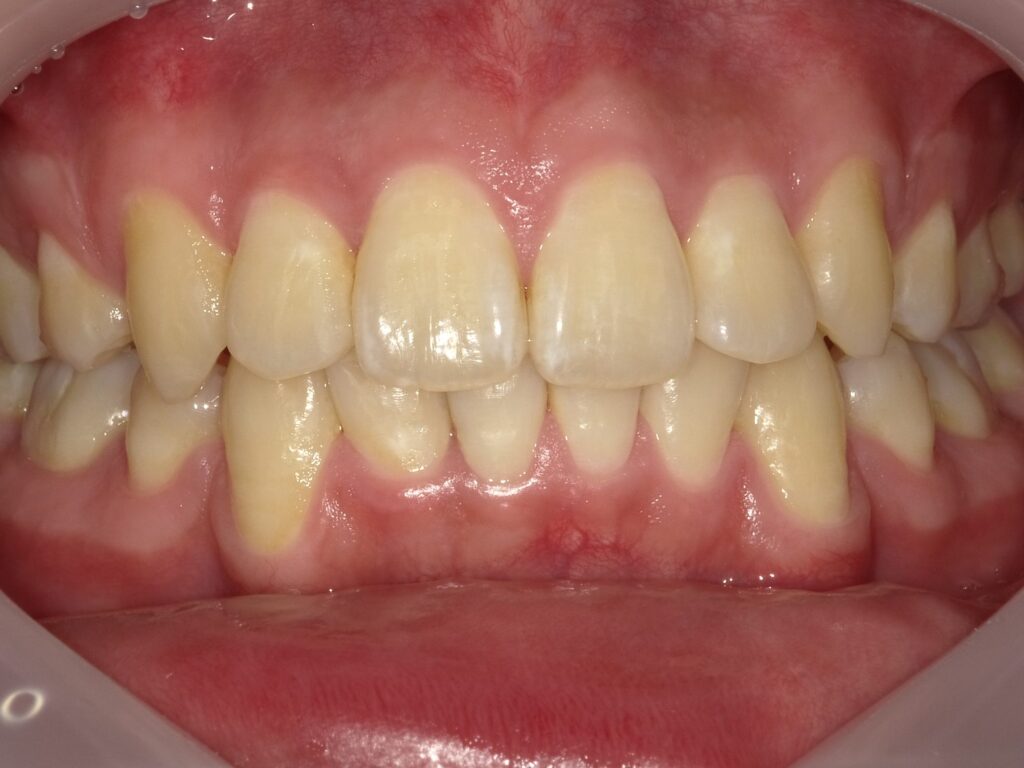
AFTER:2025年

当院でも小児患者さんから診てる子が成人になり、良い口腔内をすっと維持できている人も多数いて来院した患者さんとたまに10年以上口腔内写真やレントゲンの記録を見返して、頑張って口腔管理してる甲斐があったねと共に喜べているのが歯科医師としての幸せになっています。
執筆者情報

院長
佐藤 隆夫Sato Takao
歯科医院に行くことは勇気のいる事だと思います。 来院してくれたみなさまが笑顔で来院しやすい医院を作り、一人ひとりに適切な治療を行っていきます。
-
略歴
- 日本大学歯学部 卒業
- 日本大学歯学部付属歯科病院
歯内療法科、歯科インプラント科 在籍 - 東京都内の歯科医院で勤務医
- 上野毛通り歯科 開業 現在に至る
-
所属学会・資格
